Tooth wear is the gradual shortening of the teeth due to being worn down over time. It can lead to sensitivity and changes in appearance and to your bite if left untreated.
Types of Tooth Wear
There are three main types of tooth wear:
- Attrition – Caused by tooth-to-tooth contact, such as grinding your teeth. Many people do this overnight or subconsciously during the day. It can be habitual or related to stress
- Erosion – Due to acid dissolving the enamel on your teeth. This can be internal (vomiting/reflux etc) or external (regular acidic food and drink in your diet such as fizzy drinks, sparkling water and citrus fruits)
- Abrasion – Physical wear from external factors like aggressive brushing, hard toothbrushes, or biting on hard objects (e.g., pens, nails)
Signs and Symptoms:
- Flattened or shorter teeth
- Yellowish discoloration (thinning enamel exposes the underlying layer of the teeth which is darker)
- Sensitive teeth (especially to hot, cold, or sweet foods)
- Rounded or notched edges near the gumline
- Cracks or chips in teeth
What YOU can do about Tooth Wear
- Reduce Acid Exposure
- Limit acidic foods/drinks (citrus fruits, fizzy drinks, lemon water, squash, fruit juice and sports drinks)
- Rinse with water or mouthwash after consuming acidic food (wait 30 mins before brushing)
- Use a straw for acidic drinks
- Chew sugar-free gum to stimulate saliva, which neutralises acid
- Manage acid reflux or frequent vomiting with medical help
- Protect Teeth from Grinding (Bruxism)
- Wear a custom night guard if you grind your teeth at night.
- Practice stress-reduction techniques (meditation, exercise).
- Improve Brushing Habits
- Use a soft-bristled toothbrush and gentle, circular motions.
- Reduce pressure on brushing- its not about pressing hard but more about technique and reaching all the surfaces!
What WE can do about your Tooth Wear
- Help you to identify the causes of your tooth wear so that these can managed and removed first, to prevent further damage to your teeth
- Record and monitor the wear if it is mild or you don’t yet want to treat it; with regular scans with our intra oral scanner and photographs
For more severe cases and if you are concerned about your changing smile, sensitivity and bite issues, we REPLACE WHAT’S BEEN LOST with the following suggested treatments:
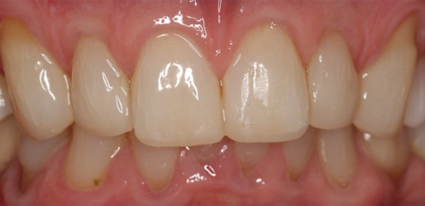
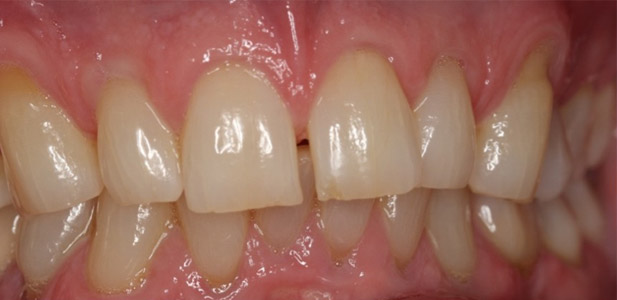
COMPOSITE BONDING
White filling material can be used to build your teeth back up to their previous height and shape, restoring your smile and function as well as allowing the teeth to bite together properly.
This is a painless, non invasive and relatively fast treatment option. However it may not be suitable if you have very severe tooth wear or if you also have missing teeth. It also requires some maintenance in terms of regular stain removal and occasional repairs needed.
CROWNS
An alternative option is to place crowns on your worn teeth at the correct height, so the appearance, bite and your ability to chew effectively are all improved at once. Missing teeth can be replaced with dentures or implants as part of the treatment plan.
Treating tooth wear generally means treating the whole mouth or groups of teeth together in a holistic and organised approach and as such has to be done with precision and expertise.
At Cherwell Heights Dental Care, this type of treatment is the bread and butter for our specialist dentist Farhan Janjua, who has years of experience in managing tooth wear and full mouth transformations.
Here are some examples of Dr Janjua’s work:
Before
After
Before
After
If you are worried about tooth wear come see us, at Cherwell Heights Dental Care we look after patients from Banbury, Chipping Norton, Bicester, Brackley, Bloxham and other parts of Oxfordshire.
Book now for a consultation or contact us to see how we can help you.



